
Product Description |
The product contained two types of antibodies A Antibody: Fab fragments of goat anti-rabbit IgG covalently linked HRP polymer. B Antibody:polymerized rabbit anti-mouse IgG。
When the primary antibody is from rabbit, just use A antibody for the IHC detection
When the primary antibody is from mouse, the secondary antibody is B antibody followed by the third A antibody. The mouse anti-antigen signal could be significantly enhanced through the amplification of polymerized rabbit anti-mouse IgG then further amplified with the goat anti-rabbit IgG HRP polymer |
|
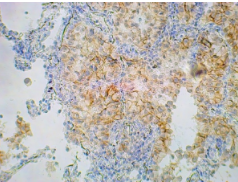
Sample Data Immunohistochenstry staining of paraffin-embedded human lung cancer tissue with rabbit Anti-PDL11 using product (ICP8889) as the 2nd antibody
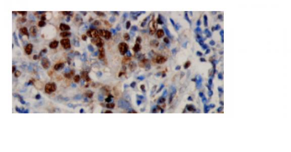
Immunohistochenstry staining of paraffin-embedded human lung cancer tissue with mouse Anti-MLH1 using product (ICP8889) as the 2nd antibody
|
|
|
||
Formulation |
15 mL and 50 mL |
||
Conjugation |
HRP polymers |
||
Specificity |
Specific for rabbit and mouse IgG. |
||
Applications |
IHC |
||
Storage & Stability |
Product is stable for 30 days at room temperature. For extended storage, store the product at 4°C. Expiration date is 12 months from the date of shipping if stored properly. |