
Product Description
Antibodies
Conjugation
Specificity
Applications
Storage & Stability
|
The affinity purified goat anti-rabbit IgG Fab (ICP2368) and goat mouse IgG Fab (ICP2388) are covalently linked to polymerized horse radish peroxidise (HRP). The product is highly sensitive and less background. The product can be used for detection, identification, and localization of primary antibodies from both mouse and rabbit sources.
Fab fragments of goat anti-rabbit IgG and goat anti-mouse IgG, affinity-purified by antigen specific affinity chromatography followed by adsorbtion with Protein G
HRP polymers
Specific for rabbit and mouse IgG.
For IHC
Product is stable for 30 days at room temperature. For extended storage, store the product at 4°C. Expiration date is 12 months from the date of shipping if stored properly.
|
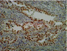
Breast Cancer
![]()
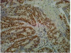
Colon Cancer
![]()
Appendix Cancer
![]()
Immunohistochemistry staining of paraffin-embedded human tumor tissue with mouse anti-MLH1 using product (ICP9988) as the 2nd antibody.
![]()
Immunohistochemistry staining of paraffin-embedded human lung cancer tissue with rabbit anti-PDL1 using product (ICP9988) as the 2nd antibody.
|
|
||
|
||
|
||
|