
P70 S6K Antibody, HRP
Catalog# Product Description |
ICP9917 Affinity purified rabbit polyclonal P70 S6K antibodies were developed using the c-terminal peptide of human S6K (P70) and conjugated to horse-radish peroxidase (HRP) through reductive amination. This conjugate has been used for one-step immuno-blotting of crude cell lysates and immunoprecipitating P70 S6K. The use of HRP conjugates reduce the time of blotting and background, particularly reducing the interference of IgG bands resulting from IP. |
|
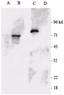
![]()
Western blot analysis of p70 S6K immunoprecipitated from mouse brain extract (B) and using S6K-HRP as a probe. Immunoprecipitation negative control (A).
|
Species
|
Rabbit
|
||
Formulation
|
250 μg/mL in PBS and 50% glycerol
|
||
Immunogen
|
Human p70 S6K C-terminal peptide (C-ISKRPEHLRMNL) KLH conjugates
|
||
Purification
|
The antibody was affinity purified with C-ISKRPEHLRMNL KLH on agarose.
|
||
Specificity
|
Recognizes 70 kDa S6K; does not cross react with RSK1.
|
||
Applications
|
ELISA; WB; IP
|
||
Scientific Description
|
p70 S6K is a protein serine/threonine kinase that exists ubiquitously. [1] p70 S6K affects the activities of the cell cycle. p70 S6K is an important regulator of cell proliferation. [2] p70 S6K activation requires sequential phosphorylation at proline-directed residues in the putative auto-inhibitory pseudo-substrate domain, as well as threonine 389. Activation of p70 S6K requires phosphoinositide 3-kinase (PI3-K)-dependent signal(s).
|
||
Storage & Stability
|
Product is stable for several weeks at 4°C. For extended storage, store product at -20°C. Expiration date is six months from date of shipping if stored properly.
|
||
Product Specific References
|
1. Crit. Rev. Biochem. Mol. Biol. 1994. 29(6): 385-413. 2. J. Biol. Chem. 1996. 271(2): 963-971. doi:10.1074/jbc.271.2.963 |